【合肥长淮中医医院】老寒腿真得是冻出来的吗?老寒腿并非单一因素所致,寒冷只是诱因之一。长期关节劳损、骨质增生、炎症等都有可能导致老寒腿。了解老寒腿的成因,采取综合治疗措施,科学应对,降低患病风险。
受寒后如果感到腿疼,要小心是不是得了膝关节炎,关节冷痛的这种症状通常被俗称为“老寒腿”,在临床中这大多是由膝关节、骨关节炎引起的,是一种常见的慢性关节疾病。我们常听人说:“年轻的时候天冷不穿秋裤,老了就等着老寒腿吧!”其实这种说法是错误的,老寒腿”中虽然带了一个“寒”字,但其实它并不是冻出来的毛病,寒冷不是导致膝关节骨性关节炎的直接原因。年轻时不穿秋裤,年老时未必一定就会老寒腿。同济大学附属同济医院运动医学科、骨关节外科中心主任程飚带来“老寒腿”的详细介绍。
“老寒腿”的真正诱因是关节软骨老化与磨损。目前认为衰老,肥胖,外伤,劳损等因素会加快膝关节表面的软骨磨损,“老寒腿”的齿轮因为这些而转,比如超重让膝关节负重增加, 软骨磨损的几率增大,经常穿高跟鞋走路,膝盖老是弯着,对关节的损伤也很大,久坐不动也是膝盖杀手,会导致下肢血液循环不良,代谢减慢,关节腔滑液分泌减少,增加下肢关节损伤的风险,所以穿的再厚老寒腿该来还是会来。不过尽管如此,在“老寒腿”中占据了c位的“寒”,它的地位和影响力也不容小觑,因为老寒腿怕冷。寒冷会加重老寒腿的症状,不管是穿上秋裤还是护膝,加强膝关节保暖或能缓解膝关节疼痛。
只有老年人会得老寒腿?
老寒腿并不只见于老年人,膝关节骨性关节炎的患病率随年龄增加而升高,60 岁以上人群中有膝盖疼痛症状的比例大于 10%,其中女性更多见。但是,也有不少非常年轻的“老寒腿”。例如在美国,约有1400万平时有疼痛等症状的膝关节骨性关节炎患者,其中一半以上都小 于 65 岁,而大于25 岁的人群中发病率占7%。
老寒腿能不能治好?
尽管治疗方法有很多,但目前仍没有药物等非手术方法能彻底治愈膝关节骨性关节炎。不过,随着全球大量研究人员和医生的探索,已对膝关节骨性关节炎的治疗达成共识。


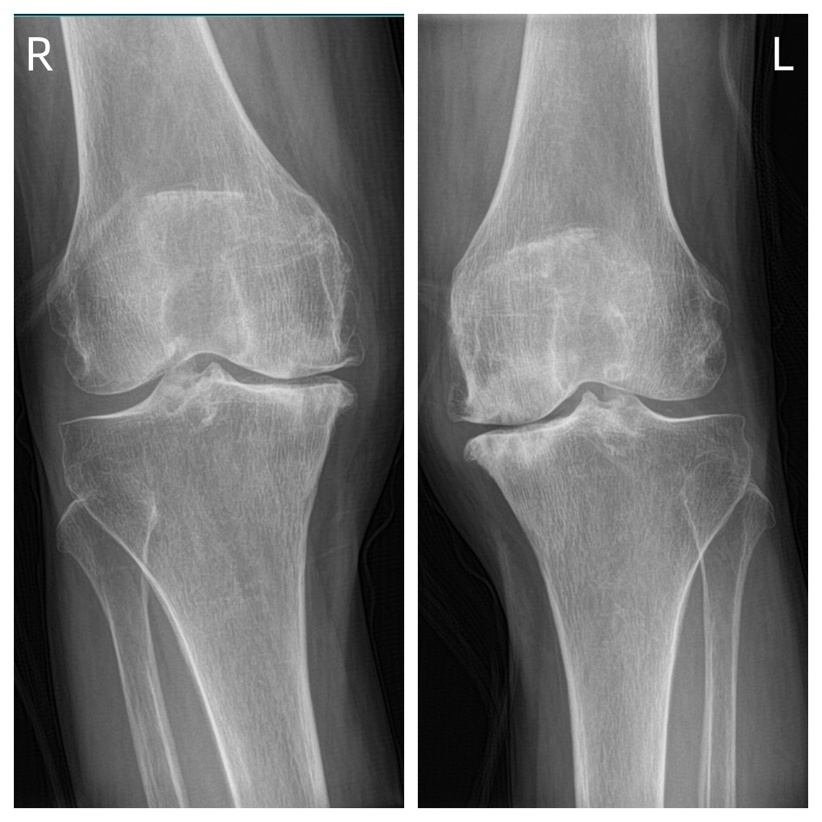
▲x 线检查可见关节间隙变窄,软骨下骨硬化,囊性变,关节边缘骨赘形成,伴有骨质疏松和软组织肿胀
轻度骨性关节炎患者:只存在轻度或间断性膝关节疼痛,不影响日常生活,主要的治疗策略 是体育锻炼以及必要时减轻体重。
中重度骨性关节炎患者:对于存在持续性膝关节疼痛、严重影响膝关节功能和生存质量的患者,推荐水中锻炼,同时可以选择口服非甾体类抗炎药、prp(富血小板血浆)关节腔注射、关节置换手术等治疗方法。但需要注意的是,某些疗法效果尚不明确,并不作为主要推荐。
其他治疗方式:
氨基葡萄糖、双醋瑞因和硫酸软骨素
透明质酸关节腔注射
对乙酰氨基酚
经皮神经电刺激、针灸
如何做运动预防和治疗?
主要从生活方式的调整方面入手:
控制体重:肥胖患者的膝关节退变更严重,肥胖使得关节负荷增加、肌肉力量降低以及关节受力改变,还会引起炎症状态、影响关节组织,包括软骨、滑膜和骨骼。
适当锻炼——股四头肌(大腿肌肉):可保持膝关节稳定,有证据显示,增强下肢的运动可能会改善膝盖疼痛。但高速活动和经常进行高强度锻炼可能会增加骨性关节炎风险,所以要量力而行。
太极:患者可根据自己的喜好来选择。现有试验表明,锻炼 12 周后,太极对膝关节疼痛、 身体机能以及减少使用止痛药的效果与标准锻炼相当,且改善焦虑抑郁的效果更好。此外, 太极还可改善老年人的平衡能力并降低跌倒风险。
药物治疗:当上述减肥和锻炼等对策效果不佳时,则需要考虑用药。轻度时首先选择外用药, 例如非甾体类消炎镇痛药,直至症状得到改善。
进行手术:当上述策略都不能缓解症状,且生活质量受到严重影响时,就要考虑手术治疗,需要去医院的骨关节外科专科进行全面评估。
综上所述,老寒腿不是冻的,也不是老年人的“专利”。天冷会加重疼痛症状,膝关节骨性关节炎讲究阶梯治疗,按需逐步提升治疗强度,很多疗法效果不明确,不要盲从,如果有上述不适症状,可以到同济大学附属同济医院骨关节外科中心门诊进行专业检查和评估后,再决定下一步治疗。
皖ICP备17025214号-2
皖公网安备 34010402701842号 广审号:(合)中医广【2025】第 08-29-66号